Mit dem Laden der Karte akzeptieren Sie die Datenschutzerklärung von Google.
Mehr erfahren
Karte anzeigen

Praxis am Kulturbahnhof
Herodontix - Bad Homburg
Fachzahnärzte für Kieferorthopädie
Basler Straße 5
61352 Bad Homburg
06172 . 76196.11
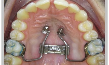
Die GNE lässt sich heutzutage auch als „Hybrid“ herstellen, bei welcher 2 Backenzähne und zwei Mini-Pins im Gaumen zur Verankerung dienen. Dies hat entschiedene Vorteile gegenüber der konventionellen GNE-Technik.
Vorteil:
Die von der Apparatur ausgeübte Kraft wird direkt auf den Knochen übertragen und nicht erst über die Verankerungszähne sekundär auf den Knochen gelenkt. Damit reduzieren sich die Nebenwirkungen auf die Zähne auf ein Minimum.
Des Weiteren muss das Gerät nach Wirkung- und Latenzphase von ca. 6 Monaten nicht zwingend für die festsitzende Spange entfernt werden. Somit wird die Oberkieferbreite erfolgreich gehalten, denn der Zug der Knochenfasern führt leicht zu einem Rezidiv.
Ist der Oberkiefer im Vergleich zum Unterkiefer zu schmal, muss der Oberkiefer verbreitert werden. Manchmal ist das Missverhältnis so stark, dass es notwendig ist, die mittlere Knochennaht im Gaumen zu dehnen. Dafür werden die beiden Oberkieferhälften kontinuierlich mit der Gaumennahterweiterungsapparatur auseinanderbewegt. Nachdem man die ideale Breite erreicht hat, wird die Position stabilisiert. Nach einer Stellzeit (täglich 1x morgens und 1x spätnachmittags) von ca. 1-2 Wochen verbleibt die Apparatur zur Stabilisierung bis zu sechs Monate im Mund des Patienten. In der Stellphase kommt es zu einer gewünschten Lückenbildung zwischen den mittleren Schneidezähnen, die sich mit der Zeit von alleine schließt.
Bei Vorhandensein aller bleibenden Zähne kommt die „Bänder-GNE“ zum Einsatz, bei Vorliegen von Milchzähnen die „Kappen-GNE“.
Nach dem Einsetzen:
Wir bitten darum, die GNE nach unserer Anweisung (i.d.R. morgens und nachmittags, also insgesamt 2x täglich) zu schrauben. Hierfür bitte den von uns mitgegebenen Schlüssel verwenden. Das Schrauben soll in Pfeilrichtung (wie von uns demonstriert) erfolgen. In den ersten Tagen ist mit Schwierigkeiten beim Kauen, Schlucken und Beißen zu rechnen. In relativ kurzer Zeit bildet sich eine Lücke zwischen den vorderen Schneidezähnen – dies ist völlig normal und sogar erwünscht. Die Lücke schließt sich normalerweise von selbst, was jedoch einige Wochen dauern kann.
Pflege:
Bitte die Zähne und die Apparatur nach jedem Essen gründlich reinigen. Vor allem die Metallstäbe sowie die Schraube im Gaumenbereich gründlich mit einer Zahnbürste von Speiseresten befreien.
Sollte sich die Kappen-GNE von den Zähnen lösen, bitten wir um sofortige Terminvereinbarung bei uns.